See Explanation
[]
Orthopedics
miscellaneous
osteoarthritis
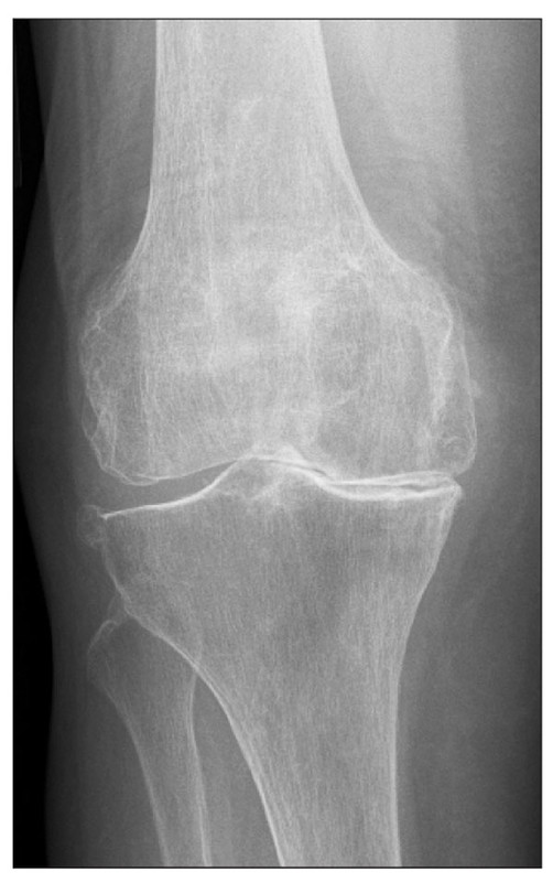
A 72-year-old female presents to an outpatient clinic with a chief complaint of chronic bilateral knee pain that has progressed over the past few years. She describes the pain as a dull ache, worse with prolonged standing, walking more than a block, and descending stairs. The pain is consistently relieved by rest, and she experiences transient morning stiffness lasting less than 15 minutes. She occasionally notices a grinding sensation in her knees. Her medical history includes well-controlled essential hypertension and obesity, with a body mass index (BMI) of 31 kg/m². On physical examination, there is mild valgus deformity bilaterally, palpable crepitus noted with passive range of motion, and tenderness along the medial joint lines. Flexion is limited to 110 degrees (normal 135 degrees) and extension to -5 degrees (normal 0 degrees). There is mild bony enlargement of both knees but no warmth, erythema, or significant effusions. Considering her clinical presentation, what is the most likely diagnosis and the appropriate initial management strategy?
| Lab Parameter | Value | Reference Range |
|---|---|---|
| Hemoglobin | 135 g/L | 120-160 g/L |
| White Blood Cell Count | 7.5 x 10^9/L | 4.0-11.0 x 10^9/L |
| Erythrocyte Sedimentation Rate (ESR) | 18 mm/hr | <20 mm/hr |
| C-reactive protein (CRP) | 4.0 mg/L | <5.0 mg/L |
Edit question

